Khoa Cấp cứu, Bệnh viện Nhân Dân 115 vừa tiếp nhận và điều trị thành công một trường hợp thuyên tắc phổi nặng biến chứng sốc, đe dọa tính mạng.
Ông N.V.L (51 tuổi) đang làm việc ngoài đồng đột ngột chóng mặt, nặng ngực rồi ngất khoảng 2 phút. Tại cơ sở y tế địa phương, ông được ghi nhận tụt huyết áp nghi ngờ nhồi máu cơ tim và nhanh chóng chuyển đến Bệnh viện Nhân Dân 115 trong tình trạng khó thở, mạch nhanh, huyết áp khó đo.
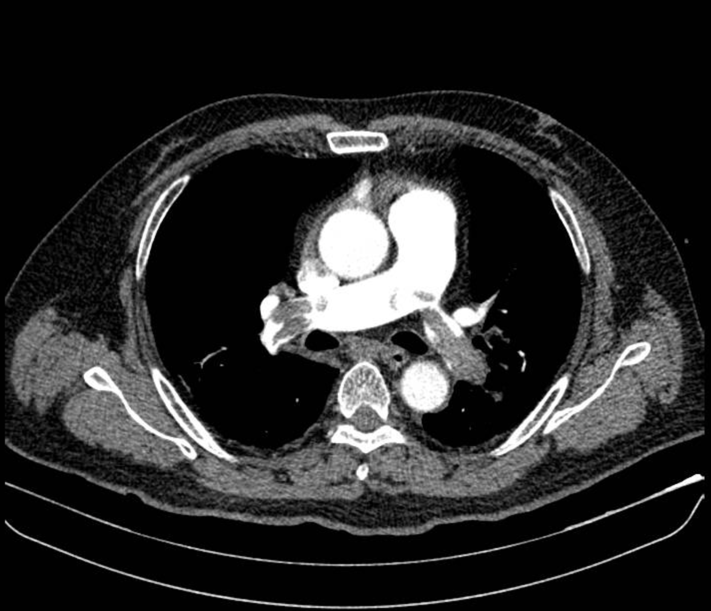
Kết quả điện tim và siêu âm tim cho thấy dấu hiệu quá tải thất phải cấp, điển hình của thuyên tắc phổi nặng. Ông L được dùng thuốc vận mạch ổn định huyết áp, sau đó chụp CT mạch máu phổi phát hiện huyết khối lớn bít tắc động mạch phổi hai bên.
Nam bệnh nhân được chẩn đoán sốc tắc nghẽn do thuyên tắc phổi nguy cơ cao và được điều trị bằng thuốc tiêu sợi huyết. Sau 1 tuần điều trị, ông L hồi phục tốt, huyết áp ổn định, hết khó thở, chức năng tim phải cải thiện rõ.

Theo BS Đỗ Công Tuấn, Khoa Cấp cứu, nguyên nhân phổ biến nhất gây thuyên tắc phổi là do cục máu đông hình thành từ tĩnh mạch sâu chi dưới di chuyển đến phổi. Ở người bệnh này siêu âm mạch máu chi dưới ghi nhận có huyết khối tĩnh mạch đùi chung trái và tĩnh mạch khoeo trái.
Khai thác tiền sử không ghi nhận tiền căn bệnh lý nhưng có hút thuốc lá khoảng 1 gói/ngày. Hút thuốc lá không phải nguyên nhân trực tiếp gây thuyên tắc phổi, tuy nhiên làm tăng nguy cơ huyết khối tĩnh mạch sâu chi dưới và có thể dẫn đến biến chứng nguy hiểm như thuyên tắc phổi. Ngoài ra hút thuốc lá còn gây rất nhiều bệnh tim mạch và hô hấp khác. Do vậy người bệnh này khi xuất viện được các bác sĩ yêu cầu ngưng thuốc lá và tuân thủ sử dụng thuốc theo chỉ định của bác sĩ.