Bệnh nhân được gần 20 bác sĩ, điều dưỡng phối hợp cấp cứu trong suốt hơn 40 phút để phục hồi nhịp tim và can thiệp động mạch vành thành công.
Sáng sớm ngày 3/9, Bệnh nhân L.L. 30 tuổi, có tiền sử hút thuốc lá nhiều, nhập viện với triệu chứng đau tức ngực từng cơn.
Bệnh nhân được cho làm các xét nghiệm cần thiết. Trong quá trình theo dõi tại Trung tâm Cấp cứu và Đột quỵ - Bệnh viện Trường Đại học Y Dược Huế, bệnh nhân đột ngột ngừng tuần hoàn, mất ý thức.
Ngay lập tức, bệnh nhân được cấp cứu ngừng tuần hoàn hô hấp. Quy trình "báo động đỏ" toàn viện được kích hoạt. Bệnh nhân được các nhân viên y tế thay phiên nhau ép tim ngoài lồng ngực, kết hợp sốc điện phá rung thất, đặt nội khí quản và tiêm các thuốc cấp cứu. Các cơn rung thất liên tục xuất hiện đe dọa tính mạng, tuy nhiên, ê-kíp đã nỗ lực không ngừng nghỉ với hi vọng bằng mọi giá cứu sống bệnh nhân. Sau hơn 40 phút cấp cứu với gần 10 lần sốc điện, bệnh nhân phục hồi nhịp tim trở lại.
Căn cứ vào các kết quả xét nghiệm và điện tim được đo ngay sau sau khi bệnh nhân có mạch trở lại, bệnh nhân được chẩn đoán ngừng tuần hoàn do nhồi máu cơ tim cấp. Bệnh nhân được chuyển ngay đến Đơn vị Tim mạch Can thiệp (DSA) để chụp và can thiệp động mạch vành cấp cứu.

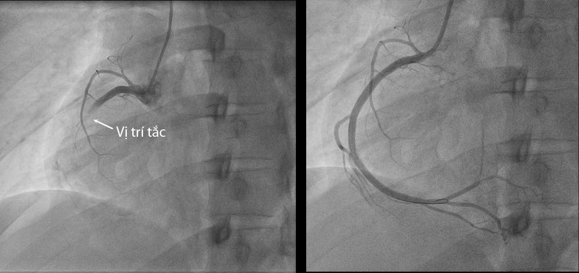
Kết quả chụp động mạch vành cho thấy bệnh nhân bị tắc hoàn toàn động mạch vành phải, lòng mạch có nhiều huyết khối. Bệnh nhân được can thiệp hút huyết khối và đặt stent để tái thông nhánh động mạch vành bị tắc, phục hồi dòng máu cung cấp cho cơ tim.
Sau can thiệp, huyết động bệnh nhân dần ổn định. Bệnh nhân được chuyển Đơn vị ICU để tiếp tục theo dõi và điều trị. Sau 1 ngày, bệnh nhân đã tỉnh táo hoàn toàn, hết đau ngực, được rút ống nội khí quản. Sau đó bệnh nhân được chuyển khoa Nội Tim mạch tiếp tục điều trị đến khi được xuất viện.
Theo PGS.TS Nguyễn Đình Toàn, Giám đốc Trung tâm Cấp cứu đa khoa và Đột quỵ, cấp cứu ngừng tuần hoàn hô hấp rất thường gặp tại trung tâm Cấp cứu đa khoa và đột quỵ với tỷ lệ tử vong cao. Tuy nhiên bệnh nhân này được phát hiện ngay khi vừa biểu hiện triệu chứng. Tất cả các phương tiện và thuốc men tại cấp cứu đều đáp ứng đủ cho hồi sức tim phổi trên bệnh nhân này. Nhờ vậy bệnh nhân đã có nhịp tim trở lại.

Theo PGS.TS. Hoàng Anh Tiến, Phó Giám đốc Trung tâm Tim mạch, chỉ đạo chuyên môn ekip can thiệp, nhồi máu cơ tim cấp là tình trạng bệnh nặng, nguy cơ tử vong cao đặc biệt là khi xuất hiện tình trạng ngừng tuần hoàn hô hấp. Can thiệp động mạch vành qua da là phương pháp hiệu quả để làm giảm tỷ lệ tử vong và các biến chứng. Đây là một trong số đáng kể các trường hợp ngừng tuần hoàn hô hấp nội và ngoại viện do nhồi máu cơ tim đã được cứu sống kể từ khi Đơn vị Tim mạch Can thiệp thuộc Trung tâm Tim mạch được thành lập và đi vào hoạt động từ hơn 15 năm nay.
Bên cạnh đó, việc khám, điều trị sớm và kiểm soát các yếu tố nguy cơ như tăng huyết áp, đái tháo đường, rối loạn lipid máu, hút thuốc lá... là rất quan trọng phòng ngừa của tình trạng nguy hiểm này.
Bệnh nhân bị nhồi máu cơ tim ở độ tuổi rất trẻ, được cứu sống, không để lại di chứng thần kinh sau thời gian cấp cứu ngừng tuần hoàn kéo dài là một trường hợp hồi phục ngoạn mục sau can thiệp trong thực hành lâm sàng. Đây là một minh chứng sống động cho hiệu quả của hệ thống báo động đỏ nhằm can thiệp kịp thời những bệnh nhân nặng nguy cơ tử vong cao, đồng thời thể hiện tinh thần làm việc phối hợp rất hiệu quả trong tiếp nhận và xử trí bệnh nhân nặng, cấp cứu của Bệnh viện Trường Đại học Y Dược Huế.